Current Volume 23, 2017

31 Dec 2017 : Clinical Research
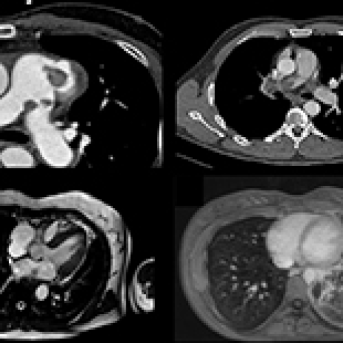
Surgical Treatment of Cardiac Tumors: Insights from an 18-Year Single-Center Analysis
Sabreen Mkalaluh, Marcin Szczechowicz
DOI: 10.12659/MSM.905451
Med Sci Monit 2017; 23:6201-6209

31 Dec 2017 : Clinical Research
Surgical Treatment of Cardiac Tumors: Insights from an 18-Year Single-Center Analysis
Sabreen Mkalaluh, Marcin Szczechowicz, Saeed Torabi, Bastian Schmack, Anton Sabashnikov, Bashar Dib, Matthias Karck, Alexander Weymann
DOI: 10.12659/MSM.905451
Med Sci Monit 2017; 23:6201-6209
2,983

31 Dec 2017 : Clinical Research
Outcomes and Predictors of Mortality After Mitral Valve Surgery in High-Risk Elderly Patients: The Heidelberg Experience
Sabreen Mkalaluh, Marcin Szczechowicz
DOI: 10.12659/MSM.906003
Med Sci Monit 2017; 23:6193-6200

31 Dec 2017 : Clinical Research
Outcomes and Predictors of Mortality After Mitral Valve Surgery in High-Risk Elderly Patients: The Heidelberg Experience
Sabreen Mkalaluh, Marcin Szczechowicz, Bashar Dib, Gabor Szabo, Matthias Karck, Alexander Weymann
DOI: 10.12659/MSM.906003
Med Sci Monit 2017; 23:6193-6200
2,664

30 Dec 2017 : Clinical Research
Analysis of CYP2C19 Genetic Polymorphism in a Large Ethnic Hakka Population in Southern China
Zhixiong Zhong, Jingyuan Hou
DOI: 10.12659/MSM.905337
Med Sci Monit 2017; 23:6186-6192

30 Dec 2017 : Clinical Research
Analysis of CYP2C19 Genetic Polymorphism in a Large Ethnic Hakka Population in Southern China
Zhixiong Zhong, Jingyuan Hou, Bing Li, Qifeng Zhang, Sudong Liu, Cunren Li, Zhidong Liu, Min Yang, Wei Zhong, Pingsen Zhao
DOI: 10.12659/MSM.905337
Med Sci Monit 2017; 23:6186-6192
2,983

30 Dec 2017 : Laboratory Research
Rho/ROCK Pathway Regulates Migration and Invasion of Esophageal Squamous Cell Carcinoma by Regulating Caveolin-1
Zhaohui Liu, Jing Yu
DOI: 10.12659/MSM.905820
Med Sci Monit 2017; 23:6174-6185

30 Dec 2017 : Laboratory Research
Rho/ROCK Pathway Regulates Migration and Invasion of Esophageal Squamous Cell Carcinoma by Regulating Caveolin-1
Zhaohui Liu, Jing Yu, Ruinuan Wu, Shengxin Tang, Xiaoman Cai, Guanghua Guo, Suzuan Chen
DOI: 10.12659/MSM.905820
Med Sci Monit 2017; 23:6174-6185
2,466

29 Dec 2017 : Clinical Research
Clinical Outcome of Total Knee Arthroplasty Performed Using Patient-Specific Cutting Guides
Murat Çalbıyık,
DOI: 10.12659/MSM.908213
Med Sci Monit 2017; 23:6168-6173

29 Dec 2017 : Clinical Research
Clinical Outcome of Total Knee Arthroplasty Performed Using Patient-Specific Cutting Guides
Murat Çalbıyık
DOI: 10.12659/MSM.908213
Med Sci Monit 2017; 23:6168-6173
2,547

29 Dec 2017 : Clinical Research
Changing Efficacy of Wet Cupping Therapy in Migraine with Lunar Phase: A Self-Controlled Interventional Study
Ali Ramazan Benli, Didem Sunay
DOI: 10.12659/MSM.905199
Med Sci Monit 2017; 23:6162-6167

29 Dec 2017 : Clinical Research
Changing Efficacy of Wet Cupping Therapy in Migraine with Lunar Phase: A Self-Controlled Interventional Study
Ali Ramazan Benli, Didem Sunay
DOI: 10.12659/MSM.905199
Med Sci Monit 2017; 23:6162-6167
4,089

28 Dec 2017 : Animal Research
The Effects of Berberine on Concanavalin A-Induced Autoimmune Hepatitis (AIH) in Mice and the Adenosine 5’-Monophosphate (AMP)-Activated Protein Kinase (AMPK) Pathway
Yangyang Wang, Lu Zhou
DOI: 10.12659/MSM.907377
Med Sci Monit 2017; 23:6150-6161

28 Dec 2017 : Animal Research
The Effects of Berberine on Concanavalin A-Induced Autoimmune Hepatitis (AIH) in Mice and the Adenosine 5’-Monophosphate (AMP)-Activated Protein Kinase (AMPK) Pathway
Yangyang Wang, Lu Zhou, Yanni Li, Liping Guo, Zhe Zhou, Haoran Xie, Yingjian Hou, Bangmao Wang
DOI: 10.12659/MSM.907377
Med Sci Monit 2017; 23:6150-6161
2,726

28 Dec 2017 : Special report
Assessment Tools for Use in Patients with Ménière Disease: An Update
Andrea Ciorba, Piotr Henryk Skarżyński
DOI: 10.12659/MSM.905166
Med Sci Monit 2017; 23:6144-6149

28 Dec 2017 : Special report
Assessment Tools for Use in Patients with Ménière Disease: An Update
Andrea Ciorba, Piotr Henryk Skarżyński, Virginia Corazzi, Chiara Bianchini, Claudia Aimoni, Stavros Hatzopoulos
DOI: 10.12659/MSM.905166
Med Sci Monit 2017; 23:6144-6149
3,036

27 Dec 2017 : Clinical Research
Clinical Evaluation of Complications in Implant-Supported Dentures: A 4-Year Retrospective Study
Sabiha Zelal Ülkü, Filiz Acun Kaya
DOI: 10.12659/MSM.907840
Med Sci Monit 2017; 23:6137-6143

27 Dec 2017 : Clinical Research
Clinical Evaluation of Complications in Implant-Supported Dentures: A 4-Year Retrospective Study
Sabiha Zelal Ülkü, Filiz Acun Kaya, Ersin Uysal, Belgin Gulsun
DOI: 10.12659/MSM.907840
Med Sci Monit 2017; 23:6137-6143
2,741

27 Dec 2017 : Animal Research
Isolation and Culture of Primary Mouse Retinal Pigment Epithelial (RPE) Cells with Rho-Kinase and TGFβR-1/ALK5 Inhibitor
Junhui Shen, Jianfeng He
DOI: 10.12659/MSM.905569
Med Sci Monit 2017; 23:6132-6136

27 Dec 2017 : Animal Research
Isolation and Culture of Primary Mouse Retinal Pigment Epithelial (RPE) Cells with Rho-Kinase and TGFβR-1/ALK5 Inhibitor
Junhui Shen, Jianfeng He, Fang Wang
DOI: 10.12659/MSM.905569
Med Sci Monit 2017; 23:6132-6136
3,036

26 Dec 2017 : Animal Research
Pioglitazone Attenuates Atherosclerosis in Diabetic Mice by Inhibition of Receptor for Advanced Glycation End-Product (RAGE) Signaling
Hongli Gao, Hongwei Li
DOI: 10.12659/MSM.907401
Med Sci Monit 2017; 23:6121-6131

26 Dec 2017 : Animal Research
Pioglitazone Attenuates Atherosclerosis in Diabetic Mice by Inhibition of Receptor for Advanced Glycation End-Product (RAGE) Signaling
Hongli Gao, Hongwei Li, Weiping Li, Xuhua Shen, Beibing Di
DOI: 10.12659/MSM.907401
Med Sci Monit 2017; 23:6121-6131
2,727

26 Dec 2017 : Clinical Research
Kinesio Taping vs. Placebo in Reducing Pregnancy-Related Low Back Pain: A Cross-Over Study
Paweł Kalinowski, Anna Krawulska
DOI: 10.12659/MSM.904766
Med Sci Monit 2017; 23:6114-6120

26 Dec 2017 : Clinical Research
Kinesio Taping vs. Placebo in Reducing Pregnancy-Related Low Back Pain: A Cross-Over Study
Paweł Kalinowski, Anna Krawulska
DOI: 10.12659/MSM.904766
Med Sci Monit 2017; 23:6114-6120
7,093

25 Dec 2017 : Laboratory Research
Pirfenidone Inhibits Proliferation and Promotes Apoptosis of Hepatocellular Carcinoma Cells by Inhibiting the Wnt/β-Catenin Signaling Pathway
Wei-Jie Zou, Zhi Huang
DOI: 10.12659/MSM.907891
Med Sci Monit 2017; 23:6107-6113

25 Dec 2017 : Laboratory Research
Pirfenidone Inhibits Proliferation and Promotes Apoptosis of Hepatocellular Carcinoma Cells by Inhibiting the Wnt/β-Catenin Signaling Pathway
Wei-Jie Zou, Zhi Huang, Tian-Peng Jiang, Ya-Ping Shen, An-Su Zhao, Shi Zhou, Shuai Zhang
DOI: 10.12659/MSM.907891
Med Sci Monit 2017; 23:6107-6113
3,373

25 Dec 2017 : Laboratory Research
Malva Sylvestris Attenuates Cognitive Deficits in a Repetitive Mild Traumatic Brain Injury Rat Model by Reducing Neuronal Degeneration and Astrocytosis in the Hippocampus
Hailin Qin, Jie Qin
DOI: 10.12659/MSM.905429
Med Sci Monit 2017; 23:6099-6106

25 Dec 2017 : Laboratory Research
Malva Sylvestris Attenuates Cognitive Deficits in a Repetitive Mild Traumatic Brain Injury Rat Model by Reducing Neuronal Degeneration and Astrocytosis in the Hippocampus
Hailin Qin, Jie Qin, Junmin Hu, He Huang, Lianting Ma
DOI: 10.12659/MSM.905429
Med Sci Monit 2017; 23:6099-6106
2,686

24 Dec 2017 : Laboratory Research
Long Non-Coding RNA Prostate Cancer-Associated Transcript 7 (PCAT7) Induces Poor Prognosis and Promotes Tumorigenesis by Inhibiting mir-134-5p in Non-Small-Cell Lung (NSCLC)
Qiongliang Liu, Yingying Wu
DOI: 10.12659/MSM.907904
Med Sci Monit 2017; 23:6089-6098

24 Dec 2017 : Laboratory Research
Long Non-Coding RNA Prostate Cancer-Associated Transcript 7 (PCAT7) Induces Poor Prognosis and Promotes Tumorigenesis by Inhibiting mir-134-5p in Non-Small-Cell Lung (NSCLC)
Qiongliang Liu, Yingying Wu, Jie Xiao, Jianyong Zou
DOI: 10.12659/MSM.907904
Med Sci Monit 2017; 23:6089-6098
3,179

24 Dec 2017 : Clinical Research
Alcohol Screening in a National Referral Hospital: An Observational Study from Qatar
Ayman El-Menyar, Rafael Consunji
DOI: 10.12659/MSM.905201
Med Sci Monit 2017; 23:6082-6088

24 Dec 2017 : Clinical Research
Alcohol Screening in a National Referral Hospital: An Observational Study from Qatar
Ayman El-Menyar, Rafael Consunji, Ahammed Mekkodathil, Ruben Peralta, Hassan Al-Thani
DOI: 10.12659/MSM.905201
Med Sci Monit 2017; 23:6082-6088
2,189

23 Dec 2017 : Animal Research
Nicotinic Acetylcholine Receptor Alpha7 Subunit Mediates Vagus Nerve Stimulation-Induced Neuroprotection in Acute Permanent Cerebral Ischemia by a7nAchR/JAK2 Pathway
Xin-xin Lu, Zhong-qiu Hong
DOI: 10.12659/MSM.907628
Med Sci Monit 2017; 23:6072-6081

23 Dec 2017 : Animal Research
Nicotinic Acetylcholine Receptor Alpha7 Subunit Mediates Vagus Nerve Stimulation-Induced Neuroprotection in Acute Permanent Cerebral Ischemia by a7nAchR/JAK2 Pathway
Xin-xin Lu, Zhong-qiu Hong, Zhi Tan, Ming-hong Sui, Zhi-qiang Zhuang, Hui-hua Liu, Xiu-yuan Zheng, Tie-bin Yan, Deng-feng Geng, Dong-mei Jin
DOI: 10.12659/MSM.907628
Med Sci Monit 2017; 23:6072-6081
4,305

23 Dec 2017 : Clinical Research
High-Intensity Exercise Acutely Increases Substantia Nigra and Prefrontal Brain Activity in Parkinson’s Disease
Neil A. Kelly, Kimberly H. Wood
DOI: 10.12659/MSM.906179
Med Sci Monit 2017; 23:6064-6071

23 Dec 2017 : Clinical Research
High-Intensity Exercise Acutely Increases Substantia Nigra and Prefrontal Brain Activity in Parkinson’s Disease
Neil A. Kelly, Kimberly H. Wood, Jane B. Allendorfer, Matthew P. Ford, C. Scott Bickel, Jon Marstrander, Amy W. Amara, Thomas Anthony, Marcas M. Bamman, Frank M. Skidmore
DOI: 10.12659/MSM.906179
Med Sci Monit 2017; 23:6064-6071
5,349

22 Dec 2017 : Laboratory Research
Baicalin Suppresses Hypoxia-Reoxygenation-Induced Arterial Endothelial Cell Apoptosis via Suppressing PKCδ/p53 Signaling
Xiaoling Shou, Bozhong Wang
DOI: 10.12659/MSM.907989
Med Sci Monit 2017; 23:6057-6063

22 Dec 2017 : Laboratory Research
Baicalin Suppresses Hypoxia-Reoxygenation-Induced Arterial Endothelial Cell Apoptosis via Suppressing PKCδ/p53 Signaling
Xiaoling Shou, Bozhong Wang, Rongfang Zhou, Lei Wang, Aihua Ren, Shangping Xin, Liyue Zhu
DOI: 10.12659/MSM.907989
Med Sci Monit 2017; 23:6057-6063
2,485

22 Dec 2017 : Laboratory Research
Effect of Calcipotriol on IFN-γ-Induced Keratin 17 Expression in Immortalized Human Epidermal Keratinocyte Cells
Jieyu Zhang, Hui Fang
DOI: 10.12659/MSM.904850
Med Sci Monit 2017; 23:6049-6056

22 Dec 2017 : Laboratory Research
Effect of Calcipotriol on IFN-γ-Induced Keratin 17 Expression in Immortalized Human Epidermal Keratinocyte Cells
Jieyu Zhang, Hui Fang, Ruoyang Wang, Erle Dang, Man Jiang, Gang Wang
DOI: 10.12659/MSM.904850
Med Sci Monit 2017; 23:6049-6056
2,370

21 Dec 2017 : Special report
Plasma Long Non-Coding RNA (lncRNA) GAS5 is a New Biomarker for Coronary Artery Disease
Qiong Yin, Anshuang Wu
DOI: 10.12659/MSM.907118
Med Sci Monit 2017; 23:6042-6048

21 Dec 2017 : Special report
Plasma Long Non-Coding RNA (lncRNA) GAS5 is a New Biomarker for Coronary Artery Disease
Qiong Yin, Anshuang Wu, Manhua Liu
DOI: 10.12659/MSM.907118
Med Sci Monit 2017; 23:6042-6048
3,000

21 Dec 2017 : Laboratory Research
High RNA-Binding Motif Protein 3 (RBM3) Expression is Independently Associated with Prolonged Overall Survival in Intestinal-Type Gastric Cancer
Fangpeng Ye, Peisheng Jin
DOI: 10.12659/MSM.905314
Med Sci Monit 2017; 23:6033-6041

21 Dec 2017 : Laboratory Research
High RNA-Binding Motif Protein 3 (RBM3) Expression is Independently Associated with Prolonged Overall Survival in Intestinal-Type Gastric Cancer
Fangpeng Ye, Peisheng Jin, Xiaoniao Cai, PeiPei Cai, Huimin Cai
DOI: 10.12659/MSM.905314
Med Sci Monit 2017; 23:6033-6041
2,902

20 Dec 2017 : Clinical Research
Analysis of Factors Influencing Mayo Adhesive Probability Score in Partial Nephrectomy
Chaoyue Ji, Shiying Tang
DOI: 10.12659/MSM.907938
Med Sci Monit 2017; 23:6026-6032

20 Dec 2017 : Clinical Research
Analysis of Factors Influencing Mayo Adhesive Probability Score in Partial Nephrectomy
Chaoyue Ji, Shiying Tang, Kunlin Yang, Gengyan Xiong, Dong Fang, Cuijian Zhang, Xuesong Li, Liqun Zhou
DOI: 10.12659/MSM.907938
Med Sci Monit 2017; 23:6026-6032
2,704

20 Dec 2017 : Clinical Research
Comparison of Intravoxel Incoherent Motion Diffusion-Weighted Magnetic Resonance (MR) Imaging to T1 Mapping in Characterization of Hepatic Alveolar Echinococcosis
Yibanu Abudureheman, Jian Wang
DOI: 10.12659/MSM.903929
Med Sci Monit 2017; 23:6019-6025

20 Dec 2017 : Clinical Research
Comparison of Intravoxel Incoherent Motion Diffusion-Weighted Magnetic Resonance (MR) Imaging to T1 Mapping in Characterization of Hepatic Alveolar Echinococcosis
Yibanu Abudureheman, Jian Wang, Wenya Liu
DOI: 10.12659/MSM.903929
Med Sci Monit 2017; 23:6019-6025
2,211

19 Dec 2017 : Clinical Research
Expression of Coiled-Coil Domain Containing 34 (CCDC34) and its Prognostic Significance in Pancreatic Adenocarcinoma
Wei Qi, Feng Shao
DOI: 10.12659/MSM.907951
Med Sci Monit 2017; 23:6012-6018

19 Dec 2017 : Clinical Research
Expression of Coiled-Coil Domain Containing 34 (CCDC34) and its Prognostic Significance in Pancreatic Adenocarcinoma
Wei Qi, Feng Shao, Qiang Huang
DOI: 10.12659/MSM.907951
Med Sci Monit 2017; 23:6012-6018
2,097
Editorial
01 August 2025 : Editorial
Editorial: Global Obesity Rates Continue to Rise with Challenges for New Drug Treatments Including GLP-1 Receptor AgonistsDOI: 10.12659/MSM.950816
Med Sci Monit 2025; 31:e950816
In Press
Review article
Psychedelic-Assisted Therapy: Potential Benefits and Challenges in Mental Health TreatmentMed Sci Monit In Press; DOI: 10.12659/MSM.948302
Review article
Current Progress in the CT- and MRI-Based Detection and Evaluation of Acute Pancreatitis ComplicationsMed Sci Monit In Press; DOI: 10.12659/MSM.948306
Clinical Research
Transcranial Direct Current Stimulation and Core Stabilization Enhance Shooting Performance and Balance in ...Med Sci Monit In Press; DOI: 10.12659/MSM.949848
Clinical Research
Electrocardiographic Indicators of Left Atrial Remodeling in Ischemic Stroke Patients with Atrial FibrillationMed Sci Monit In Press; DOI: 10.12659/MSM.947360
Most Viewed Current Articles
17 Jan 2024 : Review article 10,152,474
Vaccination Guidelines for Pregnant Women: Addressing COVID-19 and the Omicron VariantDOI :10.12659/MSM.942799
Med Sci Monit 2024; 30:e942799
16 May 2023 : Clinical Research 704,807
Electrophysiological Testing for an Auditory Processing Disorder and Reading Performance in 54 School Stude...DOI :10.12659/MSM.940387
Med Sci Monit 2023; 29:e940387
01 Mar 2024 : Editorial 34,556
Editorial: First Regulatory Approvals for CRISPR-Cas9 Therapeutic Gene Editing for Sickle Cell Disease and ...DOI :10.12659/MSM.944204
Med Sci Monit 2024; 30:e944204
28 Jan 2024 : Review article 29,117
A Review of IgA Vasculitis (Henoch-Schönlein Purpura) Past, Present, and FutureDOI :10.12659/MSM.943912
Med Sci Monit 2024; 30:e943912
